We offer FREE local collection and delivery and a FREE postal service
Welcome
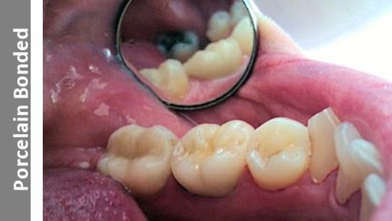
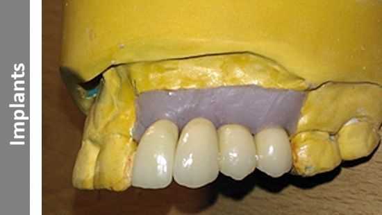
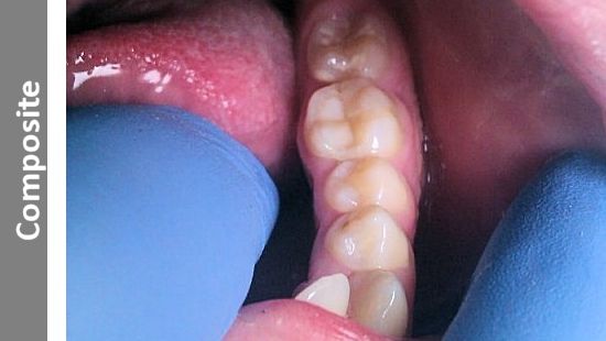
Sky Dental Ceramics is a professional service creating dental restorations that have a truly natural look.
All of our dental restorations are produced by registered Dental Technicians from our small, dedicated lab.
Our reputation and service is based on over 25 years of knowledge, skills and experience.
Please contact us for more information
Prescription Sheet
Please complete the Prescription Sheet below and post to us along with impressions











